Las bacterias son células procariontes que pueden actuar como agentes infecciosos que causan enfermedades transmisibles como el botulismo o el el cólera, entre otras, y que han convivido con la humanidad a lo largo de los siglos, siendo los antibióticos la principal herramienta que se tiene para mantener las bajo control eliminándolas o impidiendo su crecimiento.
Sin embargo el éxito de estas sustancias -producidas en su mayoría a partir de organismos como hongos, otras bacterias, o a través de procesos químicos- se encuentra en entredicho debido al surgimiento de microorganismos farmacoresistentes, lo que ha provocado un incremento de la mortalidad, y los costos médicos.
Esta era precisamente la prioridad número uno de la Organización Mundial de la Salud hasta el inicio de la pandemia por COVID-19 en Wuhan a fines del 2019, y volverá a serlo cuando pase la emergencia sanitaria, ya que las proyeciones son tales que para el 2050 estas enfermedades podrían causar más muertes que el cáncer a nivel mundial.
A pesar de que hoy en día existe una amplia gama de antibióticos conocidos, las bacterias son capaces de adaptarse a condiciones adversas de existencia en el planeta, como altas o bajas temperaturas en donde otras formas de vida como animales o plantas no pueden sobrevivir, lo que les estaría permitiendo adaptarse a la presencia de antibióticos.
Así lo explicó el Dr. Andrés Marcoleta, integrante del Grupo de Microbiología Integrativa y del Laboratorio de Biología Estructural y Molecular de la Facultad de Ciencias, quien recordó que durante los últimos años "hemos producido muchos antibióticos, no sólo para la medicina sino también para la ganadería o la acuicultura, entonces se vierten muchos al ambiente y en algún momento llegan a donde están habitando las bacterias naturalmente, lo que de alguna manera las obliga a hacerse resistentes o a perecer".
Estas bacterias sobrevivientes pueden traspasarle la información genética que contiene esta capacidad de resistencia a otras bacterias, difundiendo esta habilidad a organismos capaces de producir enfermedades.
Consultado sobre cómo poder enfrentar esta situación, el profesor Marcoleta aseguró que existen dos estrategias complementarias: "Por un lado se tienen que producir nuevos antibióticos que sean efectivos, pero esa es una solución temporal ya que en no más de 5 o 10 años aparecen bacterias resistentes, por lo que también se tiene que entender cómo las bacterias se hacen resistentes, investigando esa información genética, y desarrollar vacunas que permitan adelantarse y prevenir las infecciones".
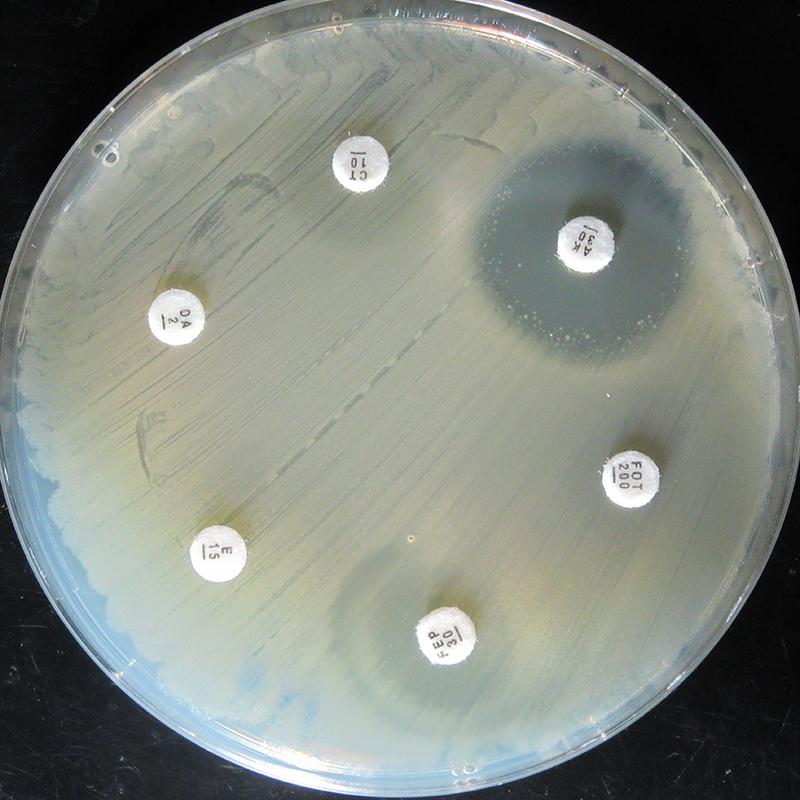
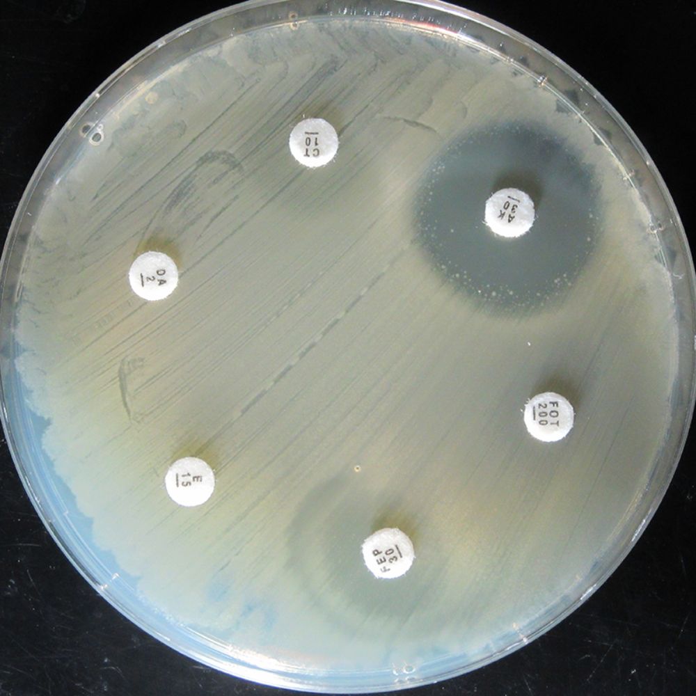
En este sentido, el profesor Marcoleta destacó el trabajo que realizan junto a las Dras. Rosalba Lagos y Macarena Varas, también del Departamento de Biología, en el proyecto "Búsqueda y caracterización de compuestos antimicrobianos y determinantes de resistencia a antibióticos presentes en bacterias del suelo antártico", financiado por el Instituto Antártico Chileno, en el que evalúan la presencia de bacterias resistentes a los antibióticos en el continente blanco.
"Ya nos encontramos en la etapa final del proyecto, y es impresionante la cantidad de bacterias que hemos encontrado, en un lugar donde uno pensaría que por la baja presencia del ser humano no deberían ser resistentes a estos medicamentos, por lo que está lleno de información genética que en el futuro podría permitir la difusión de enfermedades, por lo que debemos adelantarnos", aseguró.
Finalmente, el académico alertó sobre los riesgos asociados a la automedicación y la presencia de estos productos médicos en el comercio informal. "Hay un comercio descontrolado, con muchos productos vendiéndose en ferias libres lo que produce un problema muy serio, porque hablamos de toneladas de antibióticos incluyendo algunos que deberían reservarse para casos complicados. Este mal uso de medicamentos nos jugará en contra y hará que aumente el riesgo", finalizó.